Sâu răng ở trẻ em là một tình trạng bệnh lý hay gặp. Bệnh phát triển rất nhanh gây ra nhiều biến chứng và cuối cùng phá huỷ toàn bộ thân răng.
Nhiều nghiên cứu đã cho thấy, trẻ bị sâu răng khi còn nhỏ có nguy cơ bị sâu răng nhiều hơn khi lớn lên. Vì vậy, việc phòng ngừa sâu răng sớm ở trẻ giúp tránh được các vấn đề quan trọng về răng miệng sau này.
Nguyên nhân và triệu chứng
Sâu răng do sự tác động của ba yếu tố chính: Vi khuẩn trong mảng bám trên mặt răng, ăn nhiều thực phẩm có đường và cấu trúc răng yếu. Vì vậy, việc dự phòng và điều trị sâu răng phải tác động lên các yếu tố trên.
Sâu răng xuất hiện đầu tiên bằng đốm trắng trên mặt răng, hay gặp ở mặt ngoài răng cửa hàm trên, sau đó lan đến các răng hàm và răng cửa hàm dưới. Đốm trắng có thể đổi màu sang vàng, nâu hoặc đen và trở thành lỗ sâu trong vòng 6 đến 12 tháng.
Hậu quả sâu răng ở trẻ nhỏ
Sâu răng ở trẻ nhỏ thường tiến triển nhanh. Ban đầu không đau, sau sẽ có những cơn đau răng sâu nhẹ, đau tăng dần, đau khi ăn, thậm chí đau cả vào buổi tối làm trẻ quấy khóc, mất ngủ. Khi bệnh nặng hơn sẽ khiến sưng nề và tạo thành áp xe lợi, nếu không điều trị kịp có thể làm sưng nề cả vùng má làm lệch một bên mặt… Miệng có mùi hôi khó chịu. Hậu quả là trẻ bị đau đớn, ăn nhai khó khăn, khó phát âm, mất thẩm mỹ khiến trẻ mặc cảm với bạn bè. Và cuối cùng là mất răng sữa sớm.
Đặc biệt, khi mất răng sữa sớm dẫn đến răng vĩnh viễn mọc nghiêng, mọc lệch mọc sai vị trí hoặc không mọc được.

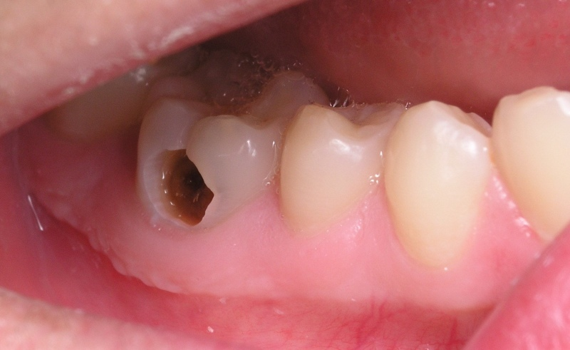
Hình ảnh răng sâu
Điều trị răng sâu như thế nào?
Răng chớm bị sâu: Có thể không cần phải hàn răng, các bác sĩ sẽ dùng các loại thuốc bôi lên mặt răng giúp tái khoáng phần bị sâu. Phương pháp này có khả năng thu hẹp vùng có màu trắng hoặc làm nó ngừng phát triển. Đây là phương pháp tái khoáng đơn giản, hiệu quả, không đau và an toàn.
Răng bị sâu nặng hơn: Cần được hàn lỗ sâu để tránh bệnh nặng hơn. Lỗ sâu sẽ được làm sạch và hàn kín bằng các loại thuốc hàn răng, khôi phục hình thể của răng, nhằm giữ được thẩm mỹ và chức năng cho hàm răng.
Các biện pháp dự phòng sâu răng
Vệ sinh răng miệng
Với trẻ dưới 2 tuổi, nên chải răng cho trẻ (hoặc lau bằng gạc) nhẹ nhàng sau mỗi lần bú hoặc khi uống nước có đường.
Với trẻ lớn hơn, nên cho trẻ làm quen với việc đánh răng và duy trì vệ sinh răng miệng đúng cách. Hướng dẫn trẻ cách làm sạch kẽ răng bằng các phương pháp chải răng kết hợp dùng chỉ tơ nha khoa, bàn chải kẽ răng; vệ sinh răng miệng ít nhất 2 lần trong ngày (sáng ngủ dậy và trước khi đi ngủ); dùng chỉ nha khoa loại bỏ thức ăn giắt ở kẽ răng. Với trẻ trên 2 tuổi, bắt đầu hướng dẫn trẻ chải răng bằng bàn chải và kem đánh răng đúng phương pháp.
Thay đổi chế độ ăn:
Ở trẻ bú mẹ, số lần cho trẻ bú nên giới hạn khoảng 8 lần/ ngày và không quá 2 lần trong đêm (đối với trẻ dưới 6 tháng tuổi). Nên bỏ động tác ru ngủ bằng cách cho bú mẹ. Không nên cho thêm chất ngọt, chất có mùi vị vào sữa. Không cho trẻ ngậm bình sữa khi đã ngủ.
Trẻ lớn hơn cần hạn chế tần suất ăn vặt của trẻ, giảm lượng thức ăn nhiều đường, nhiều tinh bột và đồ uống có gas. Đặc biệt không uống sữa đêm.
Nên có chế độ ăn giàu canxi và vitamin như pho mát, rau xanh..., uống nhiều nước trong ngày.
Khám răng định kỳ
Cho trẻ đi khám răng 6 tháng/1 lần để kịp thời can thiệp những vấn đề về bệnh răng miệng ở giai đoạn sớm nhất. Bố mẹ sẽ được tư vấn cách chăm sóc răng miệng cho con. Nếu trẻ bị mất răng sữa sớm, cần đến bác sĩ làm hàm giữ khoảng để răng vĩnh viễn mọc lên bình thường.